上顎前突・
出っ歯
上顎前突(じょうがくぜんとつ)・出っ歯とは
上の歯が前に出ている状態をいいます。上の前歯が飛び出していて口が閉じにくい状態になります。
ものを噛むとき前歯は参加していないので奥歯で噛む負担が増してしまいます。年齢が上がっていくにつれて奥歯ががんばりきれなくなり失ってしまうことも多いようです。
遺伝的な要因や乳歯から永久歯への生え変わりの際に起こることがあります。
出っ歯は、見た目や発音に影響を与えることがあり、個人の自信や人間関係にも影響を及ぼすことがあります。
上顎前突(じょうがくぜんとつ)・出っ歯を放置した場合
-
歯周病(歯槽膿漏)が進む
お口を意識しないと閉じられないので睡眠時には口で呼吸してしまいます。
唾液には歯周病を防ぐ成分が豊富に含まれているのでお口を開いて寝ていると歯周病がお子様からでも進みます。また呼吸器にも影響が出やすいのです。 - 口臭が出やすい。 お口が乾燥するので口臭がおこりやすいのです。
- う蝕(虫歯)になりやすい 唾液には虫歯を防ぐ成分も入っていて、唾液がお口の中をまわらないので虫歯になりやすいのです。
- 前歯を折りやすい 永久歯は一生使わなければなりません。男性では出っ歯の90%はぶつけた経験を持っています。
- 顔立ちが出っ歯の顔になる 出っ歯の方はその出ている歯が顔立ちを決定してしまいます。
- 食事や会話の時、人に不快感を与える 唾が飛んだり、食事がこぼれたりと人に不快感を与えることがあります。
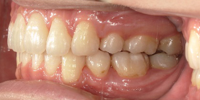
CASE01. 上顎前突
BEFORE
AFTER
| 主訴 | 口元の突出感を治したい。 |
|---|---|
| 診断内容 | 骨格性Ⅱ級(上顎骨過成長) 歯性上顎前突 7mm上顎前歯部突出 下顎前歯の叢生 |
| 治療方法 | 抜歯:上下左右第1小臼歯 治療に用いた装置:上下裏側(舌側)に装着するマルチブラケット装置(裏側矯正) |
| 治療結果 | 上下前歯の著しい突出が認められたが良好に改善した。それに伴い顔貌の突出も改善され、エステティックライン(Eライン)も良好になった。 |
| 治療費 | 基本料金900,000円+調整料 |
| 治療期間 | 2年6ヶ月 |
| 通院頻度 | 1~2カ月に1回 |
| 治療後のリスク | 矯正治療による歯の痛みがでます。上下舌側矯正は、他の矯正治療に比べ発音がしにくく慣れるまで時間がかかります。矯正器が壊れた場合、舌側に器具があるので舌を傷つける可能性があります。 |
CASE02.
上顎前突(出っ歯)
BEFORE
AFTER
| 主訴 | 上の歯が出ている。前歯でものが咬めない。上下でこぼこ。 |
|---|---|
| 診断内容 | 骨格性Ⅱ級(上顎骨過成長) 骨格性出っ歯 歯性良好 10mmの上顎前歯部突出 上下顎叢生 |
| 治療方法 | 、抜歯:上顎左右第1小臼歯、下顎右側第1小臼歯左側第2小臼歯 治療に用いた装置:上下顎表側に装着するマルチブラケット装置(表側矯正)、 アンカースクリュー(上顎左右56間埋入) |
| 治療結果 | 上顎前歯の突出および下顎骨の下後方回転により著しい前突、開咬が認められた。上顎臼歯をアンカースクリューにより左下し、下顎オートローテーション(前方回転)により開咬の改善、顔貌の改善を行いました。舌癖があり、初診時に上顎4前歯歯根吸収が既に認められていた。治療後、歯根吸収は進行せずに維持できた |
| 治療費 | 基本料金900,000円+調整料 |
| 治療期間 | 2年8ヶ月 |
| 通院頻度 | 1~2カ月に1回 |
| 治療後のリスク | 矯正治療による歯の痛みが出ます。アンカースクリューが脱落することがあります。舌癖に矯正力が加わることによる歯根吸収の可能性があります。矯正治療終了時の保定が舌癖があるため期間が長くなることがあります。 |
CASE03. 上顎前突
BEFORE
AFTER
| 主訴 | 上顎前歯が出ている。 口元の突出感を治したい。 |
|---|---|
| 診断内容 | 骨格性Ⅱ級(上顎骨過成長、下顎骨劣成長)→骨格性の出っ歯 11mmの上顎前歯部突出 |
| 治療方法 | 抜歯:上顎左右第1小臼歯 治療に用いた装置: 上下顎表側に装着するマルチブラケット装置(表側矯正) アンカースクリュー(上顎左右56間埋入) |
| 治療結果 | 上顎前歯の著しい突出、口唇も力を入れなければ閉鎖できなかった。上顎前歯部が改善されたことにより前歯部突出が改善、口唇閉鎖も自然とできるようになった。 ワイヤー矯正治療直後痛みが出てご本人は苦労したとおっしゃっていました。歯根吸収は認められません。良好な咬合関係が得られた。 |
| 治療費 | 基本料金900,000円+調整料 |
| 治療期間 | 2年 |
| 通院頻度 | 1~2カ月に1回 |
| 治療後のリスク | 矯正治療による歯の痛みがでます。上下舌側矯正は、他の矯正治療に比べ発音がしにくく慣れるまで時間がかかります。矯正器が壊れた場合、舌側に器具があるので舌を傷つける可能性があります。 |



























