すきっ⻭
すきっ⻭とは
すきっ歯とは、歯並びの状態で、前歯の間に隙間ができている状態を指します。この隙間は遺伝的な要因や歯のサイズとの不均一性によって生じることがあります。食べ物がはさまる機能的な問題と、前歯の隙間が目立ってしまうといったような精神的な悩みがあげられます。
すきっ歯は個人の特徴として受け入れられる場合もありますが、見た目にコンプレックスを感じることもあります。また、食べ物のかすや舌が挟まることがあるため、清潔に保つのが難しい場合もあります。
アジアの国の中には『歯の隙間から幸せが逃げる』といって嫌がられるところもあるようです。
上唇小帯と呼ばれる上唇と歯ぐきの間をつないでいる帯が長いことが原因で前歯の間に隙間が生じているケースでは、レーザーで上唇小帯の切除を行います。
CASE01. 空隙歯列
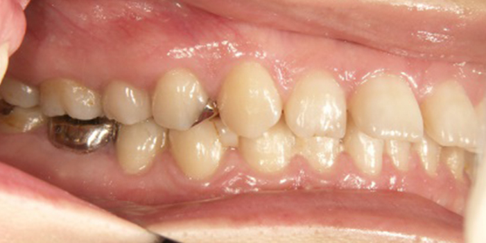
BEFORE
AFTER
| 主訴 | すきっ歯、前歯が出ている。 |
|---|---|
| 診断内容 | 骨格性Ⅱ級(下顎骨過成長) 下顎角狭小(Low mandible) 歯性上顎前突 上顎空隙歯列 |
| 治療方法 | 抜歯:非抜歯 治療に用いた装置:G.M.D(上顎歯列遠心移動装置)、上下表側に装着するマルチブラケット装置(表側矯正)、Nance’s holding arch |
| 治療結果 | G.M.D上顎歯列を後方に移動させ良好な咬合の確立ができた。 上顎歯を後方に移動することにより下顎が後方回転し、良好な顔貌比率になった。マルチブラケット法により空隙歯列の閉鎖及び前空が改善された。 |
| 治療費 | 基本料金900,000円+調整料 |
| 治療期間 | 2年3ヶ月 |
| 通院頻度 | 1~2カ月に1回 |
| 治療後のリスク | 舌癖が強く、前歯を舌が外側に押すので歯根吸収のリスクがあったが良好でした。G.M.Dは食べ物が詰まりやすく、歯肉が腫張しやすいですが、患者さまの熱心なブラッシングにより防げました。上顎臼歯遠心移動時、臼歯に痛みが発生しやすく、食事がとりにくくなりましたが、患者さまの食事の工夫により問題はありませんでした。 |







